James Gallagher - Corresponsal de Ciencia y Salud de BBC News
Una de las afecciones más crueles y devastadoras, la enfermedad de Huntington, fue tratada con éxito por primera vez, según informó un equipo de médicos.
La enfermedad, que es hereditaria, destruye implacablemente las células cerebrales y se asemeja a una combinación de demencia, Parkinson y enfermedad de la motoneurona.
El equipo de investigación se emocionó hasta las lágrimas al describir cómo los datos muestran que la enfermedad se ralentizó en un 75% en los pacientes.
Esto significa que el deterioro que normalmente se esperaría en un año, tardaría cuatro años en producirse tras el tratamiento, lo que proporciona a los pacientes décadas de “buena calidad de vida”, le explicó a la BBC la profesora Sarah Tabrizi.
El nuevo tratamiento es un tipo de terapia génica que se administra durante una delicada cirugía cerebral de entre 12 y 18 horas de duración.
Resultados “espectaculares”
Los primeros síntomas de la enfermedad de Huntington suelen aparecer entre los 30 y los 40 años y normalmente es mortal en dos décadas, lo que abre la posibilidad de que un tratamiento temprano pueda prevenir la aparición de los síntomas.
Tabrizi, directora del Centro de Enfermedad de Huntington del University College de Londres (UCL), calificó los resultados como “espectaculares”.
“Ni en nuestros mejores sueños habríamos esperado una ralentización del 75% en la progresión clínica”, afirmó.

No se ha revelado la identidad de ninguno de los pacientes tratados, pero uno de ellos que se había jubilado por motivos médicos regresó al trabajo. Otros participantes en el ensayo siguen caminando a pesar de que se esperaba que necesitaran una silla de ruedas.
Es probable que el tratamiento sea muy costoso. Sin embargo, se trata de un momento de verdadera esperanza para una enfermedad que afecta a personas en la flor de la vida y devasta a las familias.
Futuro un poco “más brillante”
La enfermedad de Huntington es hereditaria en la familia de Jack May-Davis. Él tiene el gen defectuoso que causa la enfermedad, al igual que su papá, Fred, y su abuela Joyce.
Jack cuenta que fue “realmente terrible y horrible” ver el inexorable deterioro de su papá.
Los primeros síntomas aparecieron cuando Fred tenía poco más de 30 años, incluyendo cambios en su comportamiento y en su forma de moverse.
Finalmente, necesitó cuidados paliativos las 24 horas del día, 7 días a la semana, antes de fallecer a los 54 años, en 2016.
Jack tiene 30 años, es asistente de un abogado, se acaba de comprometer con Chloe y ha participado en una investigación del UCL para convertir su diagnóstico en algo positivo.

Pero siempre supo que estaba destinado a compartir el destino de su padre, hasta hoy.
Ahora dice que el avance “absolutamente increíble” le está permitiendo mirar hacia un futuro que parece “un poco más brillante”.
“Me permite pensar que mi vida podría ser mucho más larga”, expresa.
Tratamiento
La enfermedad de Huntington está causada por un error en una parte de nuestro ADN llamada gen huntingtina.
Si uno de tus padres tiene la enfermedad de Huntington, hay un 50% de probabilidades de que heredes el gen alterado y, con el tiempo, también desarrolles la enfermedad.
Esta mutación convierte una proteína normal necesaria en el cerebro, llamada proteína huntingtina, en un asesino de neuronas.
El objetivo del tratamiento es reducir los niveles de esta proteína tóxica de forma permanente, con una sola dosis.
La terapia utiliza medicina genética de vanguardia que combina la terapia génica y las tecnologías de silenciamiento génico.

La terapia comienza con un virus seguro que ha sido modificado para contener una secuencia de ADN especialmente diseñada.
Este se infunde profundamente en el cerebro utilizando una resonancia magnética en tiempo real para guiar un microcatéter hasta dos regiones del cerebro: el núcleo caudado y el putamen. Esto requiere entre 12 y 18 horas de neurocirugía.
A continuación, el virus actúa como un cartero microscópico, entregando el nuevo fragmento de ADN dentro de las células cerebrales, donde se activa.
Esto convierte a las neuronas en una fábrica para producir la terapia que evita su propia muerte.
Las células producen un pequeño fragmento de material genético (llamado microARN) que está diseñado para interceptar y desactivar las instrucciones (llamadas ARN mensajero) que envían las células desde su ADN para construir la huntingtina mutante.
Esto da como resultado niveles más bajos de huntingtina mutante en el cerebro.

Los resultados del ensayo, en el que participaron 29 pacientes, fueron publicados en un comunicado de la empresa uniQure, pero aún no se han divulgado en su totalidad para que otros especialistas los revisen.
Los datos mostraron que, tres años después de la cirugía, se produjo una ralentización media del 75% de la enfermedad, según una medida que combina la cognición, la función motora y la capacidad para desenvolverse en la vida diaria.
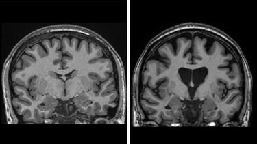
También muestran que el tratamiento está salvando células cerebrales.
Los niveles de neurofilamentos en el líquido cefalorraquídeo, un claro indicio de la muerte de las células cerebrales, deberían haber aumentado en un tercio si la enfermedad hubiera seguido progresando, pero en realidad eran más bajos que al inicio del ensayo.
“Este es el resultado que estábamos esperando”, afirmó el profesor Ed Wild, neurólogo consultor del Hospital Nacional de Neurología y Neurocirugía del UCL.
“Había muchas posibilidades de que nunca viéramos un resultado como este, así que vivir en un mundo en el que sabemos que no solo es posible, sino que la magnitud real del efecto es impresionante, es muy difícil expresar con palabras la emoción que siento”.
Dijo que se le “saltan las lágrimas” al pensar en el impacto que podría tener en las familias.
El tratamiento se consideró seguro, aunque algunos pacientes desarrollaron inflamación por el virus que les provocó dolores de cabeza y confusión, que se resolvieron o requirieron tratamiento con esteroides.
Wild prevé que la terapia “dure toda la vida”, ya que las células cerebrales no son reemplazadas por el cuerpo de la misma manera que la sangre, los huesos y la piel se renuevan constantemente.
El doctor Walid Abi-Saab, director médico de uniQure, afirmó estar “increíblemente emocionado” por lo que los resultados significan para las familias, y añadió que el tratamiento tiene “el potencial de transformar fundamentalmente” la enfermedad de Huntington.
Sin embargo, el medicamento no estará al alcance de todo el mundo debido a la gran complejidad de la cirugía y al costo previsto.
“Sin duda será caro”, afirmó Wild.
No existe un precio oficial para el medicamento. Las terapias génicas suelen ser costosas, pero su impacto a largo plazo hace que puedan resultar asequibles.
La profesora Tabrizi afirma que esta terapia génica “es el comienzo” y abrirá las puertas a tratamientos que puedan llegar a más personas.
Elogió a los voluntarios “realmente valientes” que participaron en el ensayo, y se mostró “encantada por los pacientes y sus familias”.
Ya está trabajando con un grupo de jóvenes que saben que tienen el gen, pero que aún no presentan síntomas (conocido como Huntington en etapa cero) y su objetivo es realizar el primer ensayo de prevención para ver si la enfermedad puede retrasarse significativamente o incluso detenerse por completo.
Haz clic aquí para leer más historias de BBC News Mundo.
Suscríbete aquí a nuestro nuevo newsletter para recibir cada viernes una selección de nuestro mejor contenido de la semana.
También puedes seguirnos en YouTube, Instagram, TikTok, X, Facebook y en nuestro canal de WhatsApp.
Y recuerda que puedes recibir notificaciones en nuestra app. Descarga la última versión y actívalas.



