Un programa informático mostró una mejor precisión que los expertos radiólogos para identificar cáncer de mama a partir de imágenes de mamografía, según un estudio británico.
El cáncer de mama es uno de los más frecuentes entre las mujeres, con más de dos millones de nuevos casos diagnosticados el año pasado en todo el mundo.
Estos resultados, aparecidos en la revista científica Nature “sugieren que estamos desarrollando una herramienta que puede ayudar a los médicos a detectar el cáncer de mama con una mayor precisión”, explicó el médico Dominic King, responsable británico de Google Health, uno de los autores del estudio.
"Se necesitan otros ensayos, una validación clínica y autorizaciones reglamentarias antes de que [la herramienta] pueda marcar una diferencia para los pacientes, pero estamos decididos a trabajar con nuestros socios para alcanzar este objetivo", agregó el investigador en un comunicado del Imperial College of London.
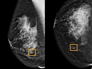
Esta técnica de inteligencia artificial (IA), fruto de la investigación de Google, se basa en un modelo matemático, un algoritmo. Este último fue ensayado, alimentado, con cerca de 29,000 imágenes de mamografías del Reino Unido y, en menor medida, de Estados Unidos.
Los expertos tenían acceso a los antecedentes de la paciente para la interpretación de las radiografías, mientras que el programa de IA sólo tenía acceso a la última mamografía.
La IA mostró una reducción de la proporción de casos en los que se detectaba erróneamente un cáncer, de 5.7% de las imágenes estudiadas de Estados Unidos y de 2.7% entre las británicas.
El algoritmo también disminuyó el porcentaje de diagnósticos fallidos: un 9.4% entre las imágenes de Estados Unidos y un 2.7% entre las del Reino Unido.
El equipo de Google Health comparó la decisión del ordenador con la del radiólogo que realizaba la primera observación de las imágenes de mamografías.
Si ambos diagnósticos concordaban, el caso se marcaba como resuelto. Sólo cuando había resultados contradictorios, se pedía al ordenador que comparara sus resultados con la decisión del especialista que había realizado la segunda lectura de la mamografía.
Según el estudio, el uso de la IA para verificar un diagnóstico del primer lector humano podría ahorrarle hasta un 88% de carga de trabajo al segundo radiólogo.

