“Invirtamos en poner fin a la tuberculosis. Salvemos vidas”. Este fue el lema con el que, en 2022, se conmemoró el Día Mundial de la Tuberculosis.
La Organización Mundial de la Salud (OMS) recuerda que la fecha busca crear conciencia entre la población sobre las devastadoras consecuencias sanitarias, sociales y económicas de esta enfermedad. Asimismo, se pretenden intensificar los esfuerzos con la finalidad de acabar con esta epidemia.
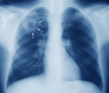
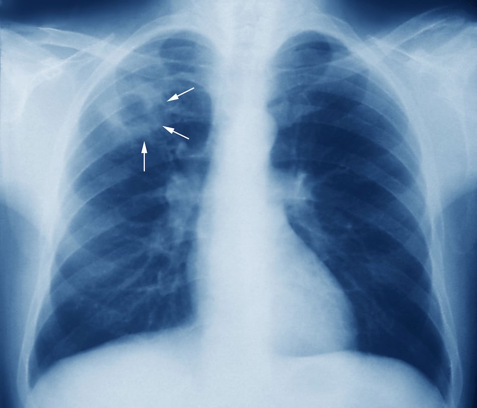
La tuberculosis es una enfermedad infecciosa que suele afectar los pulmones, causada por la bacteria Mycobacterium tuberculosis. Se transmite de una persona a otra a través de gotitas de aerosol suspendidas en el aire, que son expulsadas por personas con la enfermedad pulmonar activa, explicó Carlos Gartner, coordinador nacional del Programa de Tuberculosis de la Caja de Seguro Social (CSS).
”Con la Covid-19, las partículas no permanecen tanto tiempo en el aire y caen. Con la tuberculosis, es más el tiempo que las gotas permanecen en el aire y pueden ser inhaladas por cualquier otra persona”, detalló.

En 2021, en Panamá se diagnosticaron mil 497 nuevos casos de tuberculosis, para una tasa de incidencia de 35 casos por cada 100 mil habitantes. Gartner indicó que las regiones de Guna Yala, Panamá metro, Panamá este, Bocas del Toro, comarca Ngäbe Buglé, Colón y San Miguelito registraron incidencias superiores a la nacional y agregó que la forma más frecuente de tuberculosis en el país es la pulmonar.
Y es que la tuberculosis también puede afectar otras partes del cuerpo, incluidos los riñones, la columna vertebral o el cerebro.
La enfermedad tiene dos etapas. La primera es una fase que no es clínica y se le conoce como tuberculosis latente: la persona solo tiene la infección, pero no ha desarrollado síntomas, explicó. En la otra etapa, la personas se enferma y, en la mayoría de los casos, puede contagiarse a otras personas.
Por lo tanto, Gartner resaltó la importancia de que se realice un diagnóstico temprano. ”Cuando se tiene un cuadro de tos por más de 15 días, pudiéramos encontrar la tuberculosis cuando aún no ha hecho daño a los pulmones, la podemos tratar y evitar complicaciones”, señaló.
Pero la realidad –añadió– es que todavía se hacen muchos diagnósticos en el hospital cuando el paciente llega con complicaciones. “Un paciente que ya tiene sudoración nocturna, pérdida de peso, fiebre vespertina, posteriormente tos con sangre, en ese momento ya hay una lesión en los pulmones y ese paciente está expectorando muchos bacilos que pueden ser inhalados por cualquier otra persona sana”, subrayó.

A juicio del médico, en la actualidad no hay una alta conciencia sobre un diagnóstico temprano. Incluso, el sector salud no le da mucha importancia. Se piensa que una tos mayor de 15 días la puede tener cualquiera, dijo.
El número de casos por año en Panamá oscila entre mil 500 y mil 800, pero –según Gartner– se dejan de diagnosticar de 3 mil a 3 mil 200, lo que mantiene la cadena de trasmisión.
En medio de la pandemia de la Covid-19 han bajado los casos de tuberculosis, pero, según Gartner, no es que se ha controlado la enfermedad, sino que los casos no llegan a las instalaciones de salud o se han confundido con el SARS-CoV-2.
Gartner insistió en que si se diagnostica la enfermedad en sus fases iniciales, se evitarán lesiones graves en los pulmones que luego son “irreversibles”. En ese sentido, recalcó que la tuberculosis es tratable, curable y prevenible.
Se diagnostica a través de los esputos espontáneos de procedencia bronquial. El tratamiento dura seis meses. Durante dos meses, el paciente recibe cuatro antibióticos y en los siguientes cuatro meses recibe dos antibióticos, precisó. El galeno advirtió que dicho tratamiento puede causar reacciones adversas, por lo que es importante el seguimiento en los pacientes.

Gartner mencionó que la enfermedad tiene factores de riesgo que pueden hacer que aparezca de forma más rápida o agresiva, como puede ser el fumar, el VIH, la diabetes o personas que viven en hacinamiento.
El médico hizo énfasis en que una de las mejores prevenciones para las infecciones es la vacuna. Sin embargo, recordó que esta enfermedad no tiene una vacuna efectiva para la mayoría de las edades. ”Solo una vacuna que se pone en la niñez que evita la enfermedad en los niños en su primer año y posteriormente evita las enfermedades graves como la meningitis tuberculosa, pero no previene la enfermedad en el adulto”, acotó.
”Así como hemos tenido que invertir en Covid-19, también debemos invertir en el tema de la tuberculosis”, expresó.
La Organización Panamericana de la Salud (OPS) ha manifestado que la tuberculosis sigue siendo una de las enfermedades infecciosas más mortales del mundo. De hecho, más de 4 mil personas pierden la vida en el mundo cada día en el mundo como consecuencia de esta enfermedad, mientras que unas 30 mil se enferman.
En las Américas, cada día mueren más de 70 personas debido a la tuberculosis y cerca de 800 se enferman, de acuerdo con estadísticas de esta organización.



