En Panamá, la inteligencia artificial (IA) comienza a marcar un antes y un después en la lucha contra enfermedades crónicas y el cáncer. Maxia Latam, empresa panameña con más de diez años de experiencia en proyectos de impacto social, lidera este proceso con soluciones tecnológicas que ya están transformando la atención médica en el país.
Uno de los avances más significativos es la modernización del sistema de información e imágenes radiológicas en una de las instituciones de salud más grandes del país. La iniciativa conecta hospitales de distintos niveles y regiones, permitiendo que millones de panameños accedan a diagnósticos radiológicos sin importar su ubicación. El cambio es contundente: los tiempos de espera de un informe pasaron de 90 días a apenas 8.

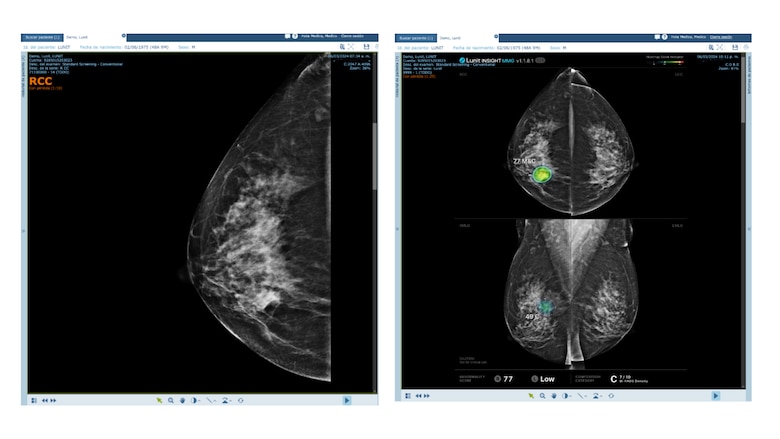
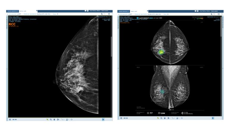
La apuesta se fortalece con una alianza estratégica con Lunit, líder mundial en IA aplicada a la radiología. A través de algoritmos avanzados, hoy es posible detectar de manera temprana cáncer de mama y hasta 11 patologías pulmonares, con un nivel de precisión que mejora las oportunidades de tratamiento y supervivencia. La innovación no solo beneficia a los pacientes: también optimiza recursos hospitalarios, apoya a los médicos en diagnósticos más rápidos y ayuda a priorizar casos de alto riesgo.
Pero Maxia va más allá con Bieni, su plataforma de salud digital única en Panamá, totalmente gratuita para los usuarios, que permite a cada ciudadano tener acceso directo a su salud y a sus expedientes médicos desde distintos hospitales y clínicas del país, todo en un solo lugar. Ahora, además, integra a BIA, un asistente de IA especializado en el historial médico de cada persona. BIA analiza datos clínicos, resultados y patrones de salud para anticipar riesgos y recomendar acciones preventivas personalizadas.
Como lo resume el CEO y fundador de Maxia: “Cada diagnóstico temprano es una oportunidad de vida. Y cada vida que salvamos, es la verdadera medida del éxito de la tecnología”.
